덧니교정
관리 어려운 덧니, 교정해서 편하게 바꾸어요.
덧니는 치아가 배열될 공간이 부족하여 가장 나중에 나는 영구 송곳니가 제대로 배열되지 못한 상태입니다. 구조상 칫솔질이 원활하지 않아 충치가 생길 위험이 높으며 방치할 시엔 치주질환의 원인이 되기도 합니다.
과거에는 덧니가 귀여움의 상징이었지만 구강건강에는 도움이 되지 않아 구강질환을 유발하고 저작운동 장애요소가 더 큰 질환으로 이어질 수 있어 교정을 통해 가지런한 이로 바꾸어 주는 것이 좋습니다.
덧니의 원인
덧니가 발생하는 원인은 유치가 너무 일찍 빠지거나, 충치로 인해 빨리 뽑는 경우, 또는 그 시기를 지나 빠져야 하는 치아가 너무 늦게 남아 있는 경우에 생깁니다. 그리고, 선천적으로 턱뼈의 공간이 부족하여 덧니가 생기기도 합니다. 그 외에도 강한 외부의 충격으로, 혹은 사랑니가 자라나면서 치아를 밀어내 덧니가 생기는 경우도 있습니다.
일등플란트치과 덧니교정법
-
1발치 후 교정치료
공간 부족이 심한 경우에 시행하게 되며, 보통 기능이 가장 적은 어금니를 우선으로 발치하지만, 충치나 짧아진 치아 뿌리 등으로 심하게 손상된 치아의 발치를 고려할 수도 있습니다. 입 모양과 전체적인 안모와의 조화를 고려하지 않은 무조건적인 발치 치료는 합죽한 안모를 만들 수 있어 주의를 필요로 합니다.
-
2비발치 교정치료
공간이 부족한 정도가 적거나 악궁이 좁은 경우, 또한 입술의 돌출도가 정상인 경우에는 이를 뽑는 대신 치아의 모양을 날씬하게 만들어 치아를 배열하거나 치열 궁등 확장 시키기도 하며, 전체 악궁을 미니스크류를 이용해 뒤로 미는 방법 등을 통해 비발치 치료를 진행합니다.
일등플란트의 치아교정 노하우
원내 담당의료진과 상담을 통한 구강검진
환자의 고민에 대한 충분한 상담을 통하여 문제점을 체크하고, 환자의 구강 건강상태 및 치아로 인한 불편함, 치료 희망 사항을 파악합니다.
정밀검사를 통한 치료계획 설계
치료계획을 세우기 위해 3D-CT 촬영을 합니다. 정밀검사는 개인에게 알맞은 치료계획을 설계하는 데에 중요한 검사이며, 검사를 토대로 담당의료진이 환자에게 주체적인 치료방법과 사용되는 장치 및 치료 기간을 설명합니다.
교정장치 브라켓 부착
정밀검사로 수립된 치료계획을 토대로 교정장치를 부착합니다.
정기적인 내원으로 와이어 교체
완치가 되는 치료 기간 내에 교정치료의 주의사항을 잘 인지하고 4~6주마다 정기적으로 내원하여 치료를 받습니다.
교정장치 제거와 유지장치 장착
환자와 고객이 교정결과에 만족하며 교정장치를 제거하고, 제자리로 돌아가려는 치아를 방지하기 위해 일정 기간 유지장치를 장착하게 됩니다.
정기검진
가지런한 치아의 상태를 유지하기 위해 정기적으로 내원하여 치아의 건강을 체크합니다.
덧니 치아교정의 궁금점
덧니교정 시 발치를 꼭 해야 하나요?
발치를 해야 하시는 분들과 비발치 치아교정이 가능하신 분들이 나누어 집니다. 환자 개인의 상태를 보고 발치와 비발치 교정 여부를 결정할 수 있습니다. 덧니의 발치 기준은 학술적으로 약 8mm 정도의 공간이 부족할 때입니다.
덧니 교정 시기는 언제가 적당한가요?
개인의 차이가 있지만, 보통 덧니교정은 8세~12세에 치료해주는 것이 가장 좋습니다. 치아 정상기에는 잇몸뼈, 잇몸조직의 치료가 좀 더 잘 되기 때문에 치아의 이동속도도 빠르고 회복력이 좋습니다.
덧니 교정기간은 얼마나 되나요?
보통 1년에서 2년 정도 소요됩니다.
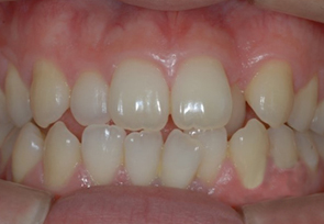
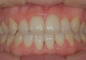
치료 케이스 보기

before

after