임플란트 틀니
이제 틀니의 불편함과 통증은 옛말입니다.
임플란트 틀니는 비교적 저렴한 비용으로 틀니의 장점을 살리면서, 기존 틀니의 불편함을 보완하는 시술 방법입니다.
혀를 내밀어도 빠지지 않는 틀니, 입천장을 엎지 않아도 되는 기존의 틀니의 불편함을 해소할 수 있습니다.
임플란트 틀니의 종류와 장점

잇몸과 틀니 사이의 강한 연결로 입안에서 틀니가 빠질 염려가 없고, 질긴 음식도 한결 씹기 편해 집니다. 또한, 치아가 거의 없는 틀니 사용 환자의 경우 적은 수의 임플란트만 식립하여 고정하므로 치료 시간에 대한 부담 및 비용에 대한 부담 또한 적은 것이 장점입니다.
고정식 임플란트 틀니
4~6개의 임플란트를 이용하여 틀니를 고정하는 방법입니다. 발음상의 문제로 인하여 주로 아래 틀니에 사용되며, 틀니의 움직임이 전혀 없어 자연치아에 버금가는 기능을 합니다.
탈착식 임플란트 틀니
환자 스스로 탈착 가능하여 자가 관리가 가능한 틀니입니다. 2~6개의 임플란트를 이용, 틀니 유지장치를 만들며 안정성이 크게 향상되어 만족스러운 틀니 사용이 가능합니다.
일등플란트의 치료 노하우
예비틀니를 이용한 치료 계획 수립
시술 전에 환자의 구강내 검사를 하고, X-Ray, CT 촬영과 진단 모형 등을 통해 임플란트 틀니의 시술방법과 종류를 선택하고 치료 계획을 설정합니다. 반드시 예비 틀니를 만들어 적절한 치아의 위치를 찾고, 이에 맞게 임플란트를 심는 것이 좋습니다. 또 예비 틀니는 임플란트 주변의 뼈가 굳어질 때까지 사용합니다.(기존의 틀니 모양이 적절하면 기존 틀니를 예비 틀니로 사용할 수 있습니다. )
AAID가 인정한 우수 의료진의 1차, 2차 수술
1차 수술은 잇몸뼈에 임플란트를 심는 과정이고, 2차 수술은 잇몸이 덮고 있는 임플란트의 머리 부분을 노출시키는 과정입니다. 임플란트의 상부가 잇몸 밖으로 노출되어야 그 위에 유지 장치를 연결할 수 있습니다.
틀니의 시술방식(오링, 로케이터, 바앤클립)에 따른 유지장치를 임플란트에 연결하여 줍니다. 이러한 유지장치는 틀니와 임플란트간의 고정력을 높여 틀니가 헐겁지 않게 해주며 더 강한 힘으로 씹을 수 있게 도와주는 임플란트 틀니의 핵심입니다.
틀니 연결
각각의 유지 장치에 맞는 부속품을 틀니에 부착한 후 틀니를 구강 내에 장착합니다. 틀니에 부착된 부속품이 유지 장치와 결합하여 틀니를 고정해 주기 때문에 말을 하거나, 식사를 할 때 틀니가 빠지지 않습니다.

임플란트 틀니의 궁금점
보통 몇 개의 임플란트를 식립해야 하나요?
보통 2~6개 이상을 식립하고 임플란트에 똑딱이 단추나 바(bar) 등의 연결 장치(Attachment)를 사용하여 특수제작된 틀니와 연결시켜 사용합니다. 전체 임플란트를 식립하기에 부담이 크고, 틀니는 불편하거나 기능력이 약하여 피하고 싶을 때 선택할 수 있는 시술방법입니다.
남아 있는 치아에 부담을 주지 않나요?
틀니나 브릿지 처럼 남아있는 치아에 부담을 주지 않아 다른 치아의 수명이 길어집니다. 또한 주변치아를 다듬어서 씌우는 브릿지처럼 멀쩡한 치아를 갈아내도 되지 않기 때문에 보존적입니다.
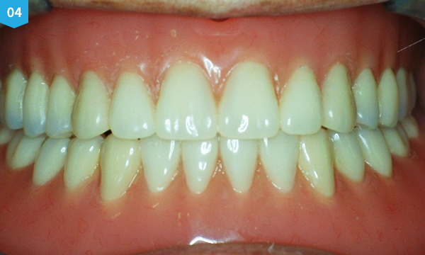
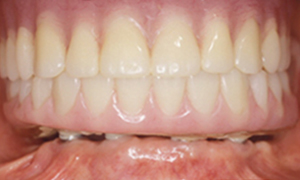
치료 케이스 보기

before

after